Šypsokitės, kalbėkite ir valgykite pasitikėdami savimi.
Pagal užsakymą pagaminti dantų protezai, kurie atrodo natūraliai ir yra saugūs. Nesvarbu, ar jums reikia pakeisti kelis dantis, ar visą dantų komplektą, mes atkuriame jūsų gyvenimo kokybę.
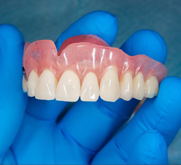
Šiuolaikiniai dantų protezai yra kitokie
Pamirškite seną nepatogių, „gremėzdiškų” dirbtinių dantų stigmą. Šiuolaikinė odontologija pasikeitė.
„Irmadent” gaminame aukštos kokybės dantų protezus pagal užsakymą, kurie puikiai tinka jūsų unikaliai burnos formai.
Didžiausią dėmesį skiriame estetikai (kad jie atrodytų kaip tikri dantys) ir funkcijai (kad vėl galėtumėte mėgautis mėgstamu maistu).
Tinkamo pasirinkimo paieška
Siūlome keturių skirtingų tipų dantų protezus, atitinkančius visus poreikius ir biudžetą.
Akriliniai dantų protezai

Klasikinis, nebrangus sprendimas.
Geriausiai tinka: Visiems dantų protezams (pakeičiantiems visus dantis) arba laikinam sprendimui po ekstrakcijos.
Privalumai: Lengva reguliuoti, taisyti ar ateityje pridėti naujų dantų.
Lankstūs minkšti dantų protezai (Valplast stilius)

Patogiausias dalinių dantų protezų variantas.
Kas tai yra? Pagamintas iš lanksčios nailono medžiagos, kuri prisitaiko prie burnos formos.
Kodėl verta juos rinktis? Jie praktiškai nesulaužomilengvi, jiems nereikia metalinių užsegimų, todėl jie atrodo visiškai natūraliai.
Metalinis rėmas (chromo kobalto spalvos)

Aukščiausios kokybės pasirinkimas, užtikrinantis tvirtumą ir higieną.
Kaip jie veikia: Paslėptas, itin plonas metalinis karkasas prisitvirtina prie likusių dantų.
Nauda: Jie yra daug plonesni ir yra mažiau talpūs nei plastikiniai, todėl gomurys (burnos ertmės stogas) lieka neuždengtas. Tai reiškia, kad galite geriau jausti maisto skonį ir aiškiau kalbėti.
Acetaliniai dantų protezai

Puikus tvirtumo ir estetikos balansas.
Kas tai yra? Šiuolaikinė dantų spalvos dervos medžiaga, kuri yra tvirta, tačiau šiek tiek lanksti.
Kodėl verta jį rinktis? Skirtingai nei metaliniai protezai, užraktai (kabliukai) yra dantų spalvos, todėl jie tampa nematomi, kai šypsotės. Be to, jis yra hipoalerginis – puikiai tinka, jei esate jautrūs metalams ar akrilui.
Kaip mes sukuriame jūsų naują šypseną
1 žingsnis: įspūdžiai
Kad užtikrintume, jog dantenos (ir likę dantys) tiksliai priglus.2 veiksmas: „Išbandymas”
Tai įdomioji dalis. Naujus dantis įtvirtiname vašku ir leidžiame jums juos išbandyti. Galite patikrinti spalvą, formą ir sukandimą. Jei jums nepatinka, kaip jie atrodo, mes juos pakeisime čia pat!3 žingsnis: Pritaikymas
Kai būsite patenkinti, baigsime protezavimą ir pritaikysime dantų protezus. Parodysime, kaip juos įsiūti ir išsiimti bei palaikyti švarą.
Dantų protezavimo mokesčiai
Siūlome pasirinkimų kiekvienam biudžetui. Pateikiame mūsų kainų gidą.
Dentures
-
One tooth acrylic denture From £350
-
Partial acrylic dentures From £450
-
Full acrylic dentures From £650
-
Metal framed / partial soft dentures From £1250
-
Denture repair From £170
Mokėjimas dalimis su "Tabeo" finansų bendrove
Mokėkite dalimis kas mėnesį Siūlome lanksčias mokėjimo galimybes su „Tabeo Finance”, todėl galite pradėti gydymą dabar ir paskirstyti išlaidas.
– Pasirinktoms gydymo procedūroms taikomas 0 % finansavimas
– Nereikalaujamas joks užstatas
– Momentiniai sprendimai (90 % patvirtinami iš karto)
– Greita ir paprasta paraiška internetu (2-5 minutės)
Pradėkite gydymą šiandien – mokėkite vėliau.
Dažnai užduodami klausimai
Turite klausimų apie dantų protezus? Mūsų klausimų ir atsakymų skiltis padės jums sužinoti daugiau apie mūsų paslaugas ir apie tai, kaip galime padėti jums pasiekti geriausią burnos sveikatą.
Tai priklauso nuo to, kiek dantų jums liko, ir nuo jūsų biudžeto.
-
Tinklalapiui patogumas ir išvaizda: Lankstus arba acetalinis.
-
Tinklalapiui stiprumas ir higiena: Chromas kobaltas.
-
Tinklalapiui įperkamumas: Akrilas.
Dr. Irma jus apžiūrės ir rekomenduos geriausią variantą.
Paprastai per kelias savaites reikia 4-5 susitikimų. Mes neskubame, kad apranga puikiai tiktų ir atrodytų. Neskubame siekti tobulumo.
Taip! Šiuolaikiniai dantų protezai (ypač chromuoti ir lankstūs) yra labai stabilūs. Prireiks šiek tiek praktikos, bet turėtumėte galėti patogiai valgyti daugumą maisto produktų.